Login Register
Gallery Signs Hilum overlay sign see next image

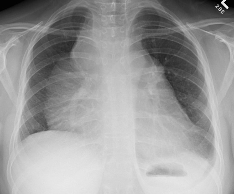
Hilum overlay sign
see next image

Date: 04/28/2014
Full size: 756x626
nextlast
first previous
Hilum overlay sign
see next image
nextlast
first previous
Powered by Gallery v2.3