Login
Register
Gallery
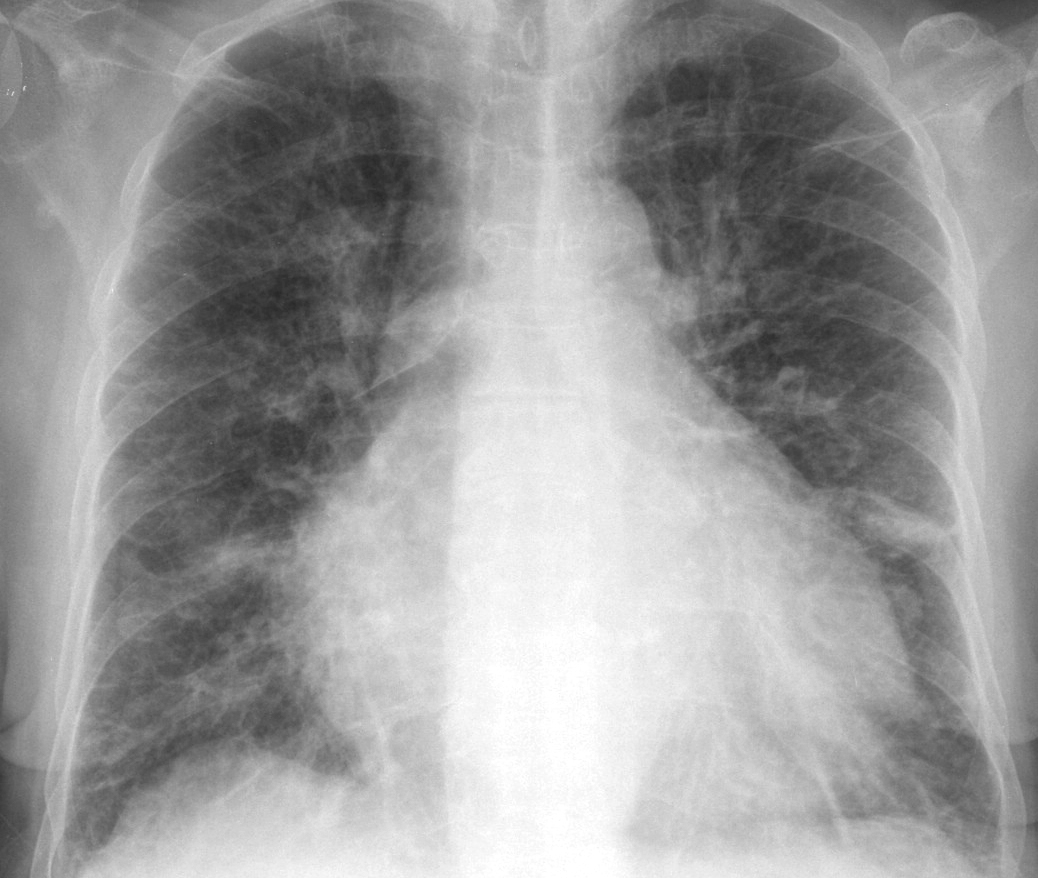
Cardiac
Heart failure
IPE 2
IPE 2
Date: 11/05/2005
Size:
800x677
1038x878
Full size:
1038x878
next
last
first
previous
next
last
first
previous