Login
Register
Gallery
Cardiac
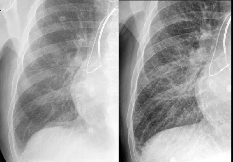
Heart failure
IPE before and after
IPE before and after
Date: 10/23/2010
Size:
800x558
1344x938
Full size:
1344x938
next
last
first
previous
next
last
first
previous