Login
Register
Gallery
Cardiac
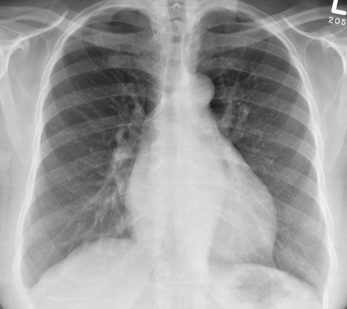
Mitral Valve Disease
Mitral Valve Disease Case 10 PA
Mitral Valve Disease
Case 10 PA
Date: 01/26/2009
Size:
800x711
1138x1012
Full size:
1138x1012
next
last
first
previous
next
last
first
previous