Login Register
Gallery Cardiac Other

Other

Date: 07/03/2006
Size: 40 items
first previous
Aortic aneurysm

Aortic aneurysm

Date: 03/02/2014
Views: 2272
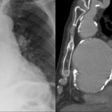
Aortic aneurysm

Aortic aneurysm

Date: 03/02/2014
Views: 2436
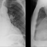
Aortic aneurysm withl ateral

Aortic aneurysm withl ateral

Date: 03/02/2014
Views: 2338
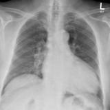
ischemic LV

ischemic LV

Ischemic LV

Date: 01/06/2018
Views: 1359
first previous
Page: 1 2
Powered by Gallery v2.3