Login Register
Gallery Congenital tracheal diverticulum

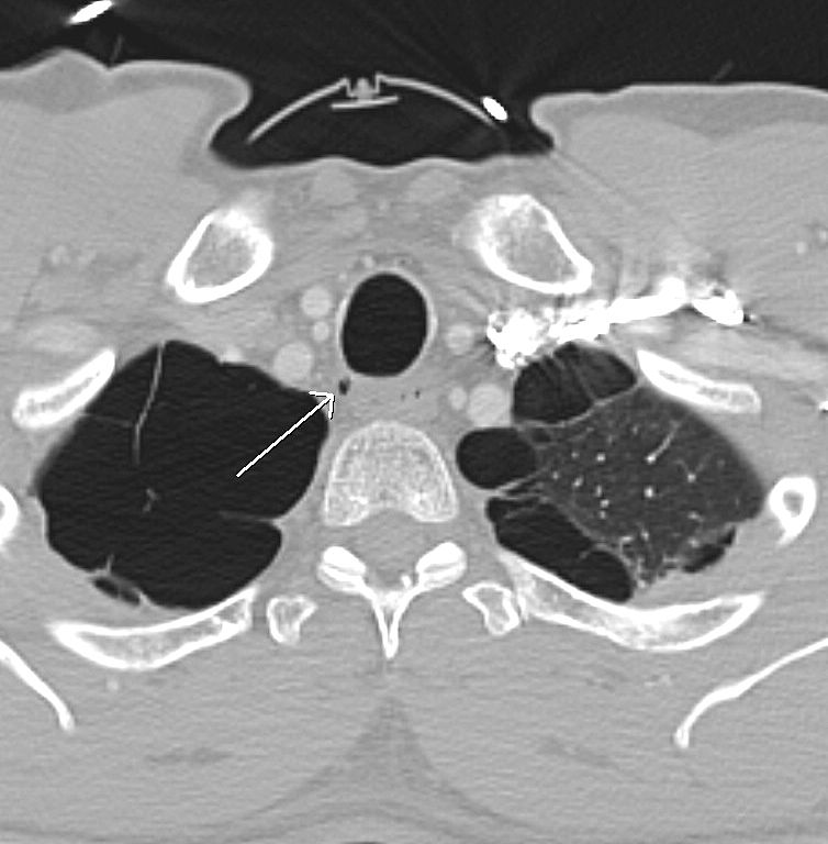
tracheal diverticulum

Date: 01/13/2008
Full size: 754x768
nextlast
first previous
tracheal diverticulum
nextlast
first previous
Powered by Gallery v2.3