Login Register
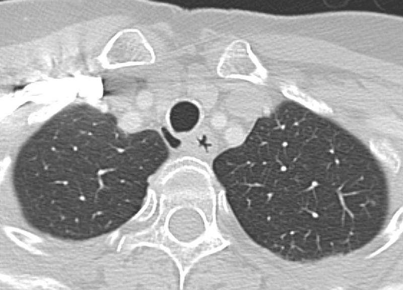
Gallery Congenital tracheal diverticulum 2

tracheal diverticulum 2

Date: 01/13/2008
Size:
Full size: 842x606
nextlast
first previous
tracheal diverticulum 2
nextlast
first previous
Powered by Gallery v2.3