Login Register
Gallery Lobar Collapse RLL Collapse Mass RLL collapse 5 Lat

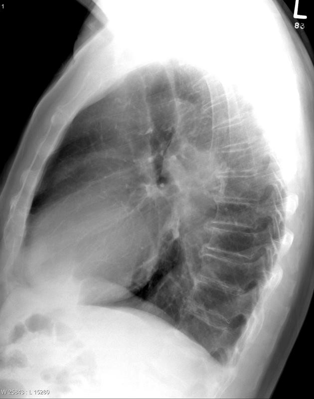
Mass RLL collapse 5 Lat

Date: 03/02/2006
Size:
Full size: 1198x1521
nextlast
first previous
Mass RLL collapse 5 Lat
nextlast
first previous
Powered by Gallery v2.3