Login
Register
Gallery
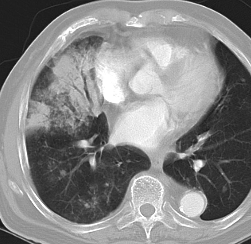
Lung Cancer
BAC
BAC Case 2 CT
BAC Case 2 CT
Date: 10/29/2006
Size:
800x778
955x929
Full size:
955x929
next
last
first
previous
next
last
first
previous