Login
Register
Gallery
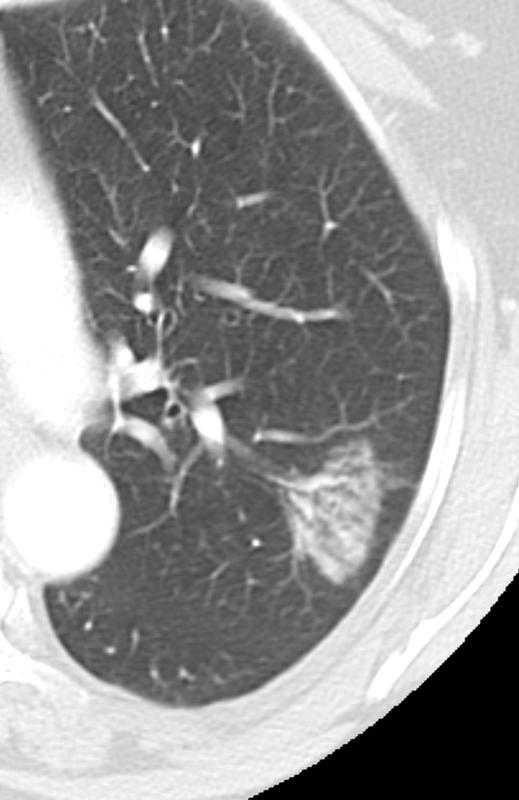
Lung Cancer
BAC
BAC Case 3
BAC Case 3
Date: 04/25/2009
Size:
519x800
610x940
Full size:
610x940
next
last
first
previous
next
last
first
previous