Login Register
Gallery Lung Cancer Miscell KS PA

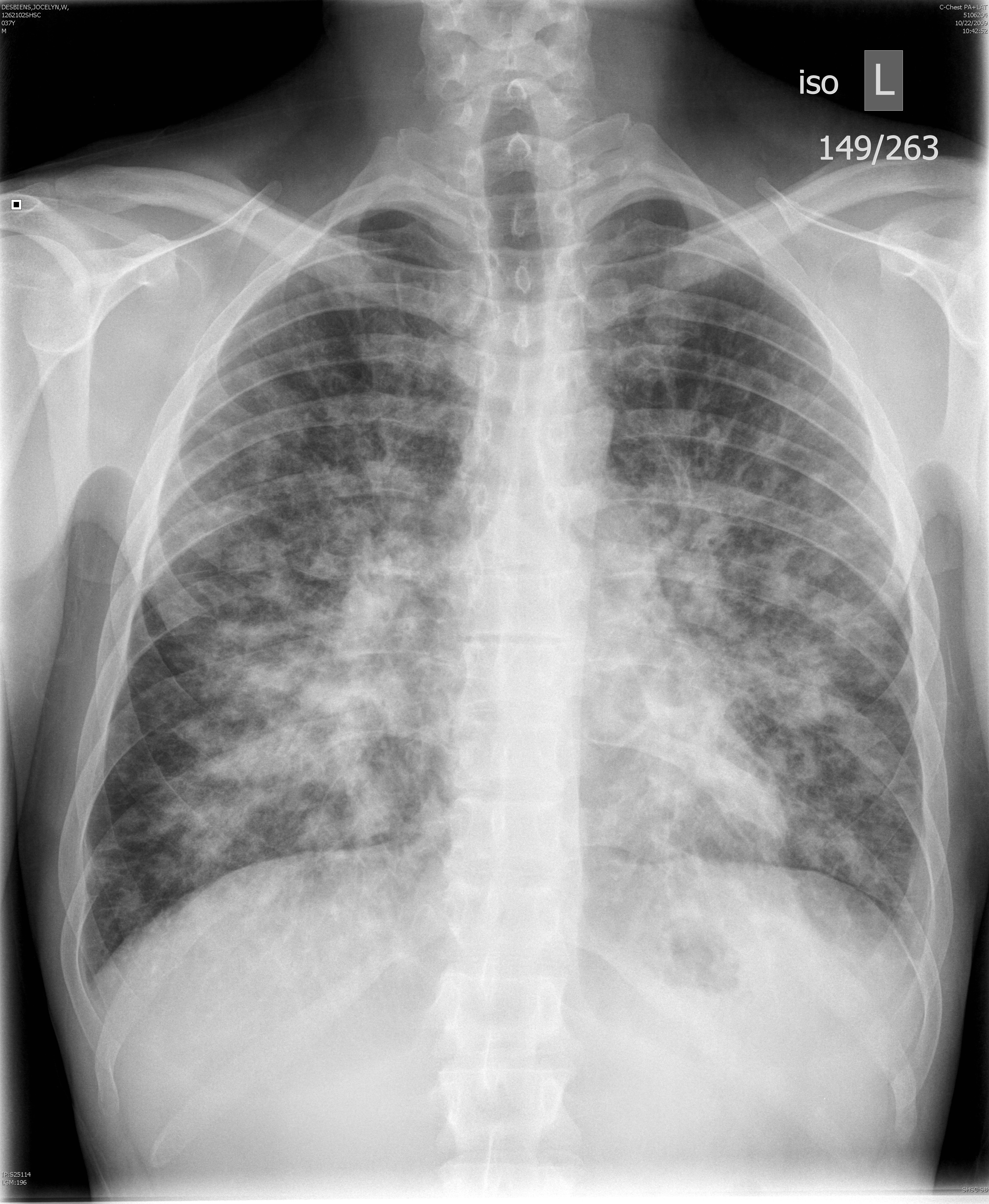
KS PA

Date: 03/03/2013
Size:
Full size: 3480x4240
nextlast
first previous
KS PA
nextlast
first previous
Powered by Gallery v2.3