Login Register
Gallery Lung Cancer Miscell smoking effects

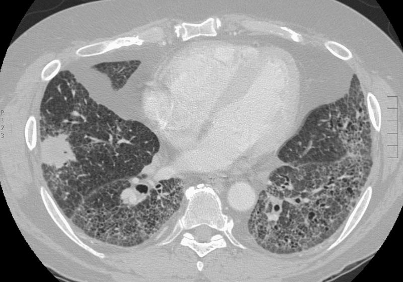
smoking effects

Date: 02/25/2013
Size:
Full size: 1454x1018
nextlast
first previous
smoking effects
nextlast
first previous
Powered by Gallery v2.3