Login Register
Gallery Mediastinum Miscellaneous

Miscellaneous

Date: 07/10/2006
Size: 32 items
Mediastinal margins

Mediastinal margins

Date: 07/10/2006
Views: 3264
resid thymus

resid thymus

Date: 07/24/2006
Views: 23685
Pneumomediastinum 1

Pneumomediastinum 1

Date: 10/06/2003
Views: 4646
Pneumomediastinum 2

Pneumomediastinum 2

Date: 01/26/2009
Views: 4370
Pneumomediastinum cu

Pneumomediastinum cu

Date: 01/26/2009
Views: 3764
Pneumomediastinum 2 lat

Pneumomediastinum 2 lat

Date: 01/26/2009
Views: 7012
Pneumomediastinum 3

Pneumomediastinum 3

Date: 01/06/2012
Views: 3934
Pneumomediastinum 3 CT

Pneumomediastinum 3 CT

Date: 01/06/2012
Views: 4375
Scleroderma esophagus

Scleroderma esophagus

Date: 03/11/2006
Views: 4308
Scleroderma esophagus

Scleroderma esophagus

Date: 03/11/2006
Views: 3805
normal axillary node

normal axillary node

Date: 01/13/2008
Views: 22387
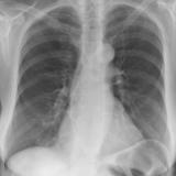
normal ight hilum

normal ight hilum

Date: 03/11/2009
Views: 2726
Foregut cyst
(and RML pneumonia)

Foregut cyst
(and RML pneumonia)

Date: 01/07/2012
Views: 3818
Foregut cyst CT

Foregut cyst CT

Date: 01/07/2012
Views: 3363
node calcification

node calcification

Date: 02/25/2013
Views: 36568
mediastinal fat

mediastinal fat

Date: 02/25/2013
Views: 3503
mediast fat Coronal CT

mediast fat Coronal CT

Date: 02/25/2013
Views: 3443
node calcification

node calcification

Date: 02/25/2013
Views: 39007
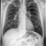
Huge HH  plus esoph

Huge HH plus esoph

Date: 03/03/2013
Views: 3526
Huge HH plus esoph lat

Huge HH plus esoph lat

Date: 03/03/2013
Views: 3715
Mediastinal adenopathy

Mediastinal adenopathy

Date: 07/27/2013
Views: 2696
Esoph obstr'n - air-fluid level

Esoph obstr'n - air-fluid level

Date: 03/02/2014
Views: 3518
same patient- distended esop

same patient- distended esop

Date: 03/02/2014
Views: 3772
Dilated esophagus- Pa and lat from different dates

Dilated esophagus- Pa and lat from different dates

Date: 03/02/2014
Views: 3874
Same patient  PA views

Same patient PA views

Date: 03/02/2014
Views: 3676
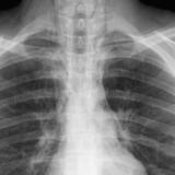
paraspinal "lines"

paraspinal "lines"

Date: 04/02/2014
Views: 6781
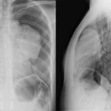
Bochdalek hernia PA

Bochdalek hernia PA

Date: 01/12/2015
Views: 12310
Bochdalek hernia lat

Bochdalek hernia lat

Date: 01/12/2015
Views: 18194
mediastinal fat

mediastinal fat

Date: 01/12/2015
Views: 3368
Asthma PnMed PA

Asthma PnMed PA

Asthmatic pneumomedistinum PA

Date: 01/06/2018
Views: 3196
Asthma PnMed lat

Asthma PnMed lat

Asthmatic pneumomediastinum lat

Date: 01/06/2018
Views: 4317
ant med mass PA and Lat

ant med mass PA and Lat

anterior mediastinal mass

Date: 01/06/2018
Views: 20183
Page: 1
Powered by Gallery v2.3