Login Register
Gallery Mediastinum Thymus Case 4 Thymoma

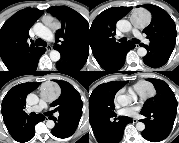
Case 4
Thymoma

Date: 03/17/2004
Full size: 720x576
nextlast
first previous
Case 4
Thymoma
nextlast
first previous
Powered by Gallery v2.3