Login
Register
Gallery
Mediastinum
Thymus
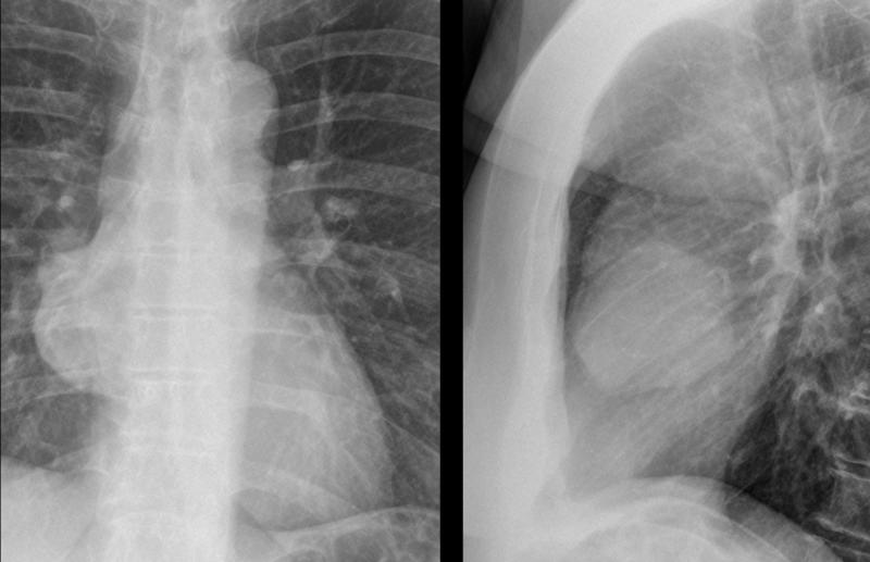
Thymoma
Thymoma
Date: 11/06/2013
Size:
800x517
1259x814
Full size:
1259x814
first
previous
first
previous