Login Register
Gallery Mediastinum Thymus Case 7c Malig Thymoma

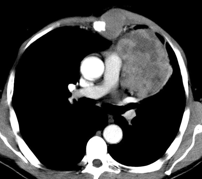
Case 7c
Malig Thymoma

Date: 03/17/2004
Full size: 648x576
nextlast
first previous
Case 7c
Malig Thymoma
nextlast
first previous
Powered by Gallery v2.3