Login Register
Gallery Mediastinum Thymus

Thymus

Date: 03/17/2004
Size: 27 items
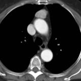
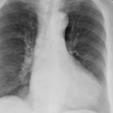
Case 1a
Thymoma

Case 1a
Thymoma

Date: 03/17/2004
Views: 4915
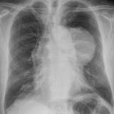
Case 1b
Thymoma

Case 1b
Thymoma

Date: 03/17/2004
Views: 4921
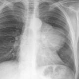
Case 1c
Thymoma

Case 1c
Thymoma

Date: 03/17/2004
Views: 4706
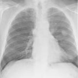
Case 2
Thymoma

Case 2
Thymoma

Date: 03/17/2004
Views: 5634
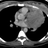
Case 3a
Malig Thymoma

Case 3a
Malig Thymoma

Date: 03/17/2004
Views: 13821
Case 3b
Malig Thymoma

Case 3b
Malig Thymoma

Date: 03/17/2004
Views: 18466
Case 4
Thymoma

Case 4
Thymoma

Date: 03/17/2004
Views: 16595
Case 5
Thymic hyperplasia

Case 5
Thymic hyperplasia

Date: 03/17/2004
Views: 5397
Case 6a
Thymoma

Case 6a
Thymoma

Date: 03/17/2004
Views: 3588
Case 6b
Thymoma

Case 6b
Thymoma

Date: 03/17/2004
Views: 3853
006c

006c

Date: 03/17/2004
Views: 3277
Case 7a
Malig Thymoma

Case 7a
Malig Thymoma

Date: 03/17/2004
Views: 10264
Case 7b
Malig Thymoma

Case 7b
Malig Thymoma

Date: 03/17/2004
Views: 17911
Case 7c
Malig Thymoma

Case 7c
Malig Thymoma

Date: 03/17/2004
Views: 4213
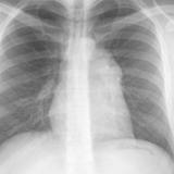
Normal Thymus

Normal Thymus

Date: 03/17/2004
Views: 4389
009

009

Date: 03/17/2004
Views: 6686
010MG

010MG

Date: 03/17/2004
Views: 6581
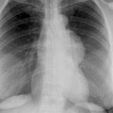
Case 8a Thymoma PA

Case 8a Thymoma PA

Date: 03/27/2009
Views: 9450
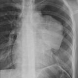
Case 8b Thymoma Lat

Case 8b Thymoma Lat

Date: 03/27/2009
Views: 14091
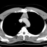
Case 8c Thymoma CT

Case 8c Thymoma CT

Date: 03/27/2009
Views: 15396
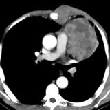
Case 9 Thymoma PA

Case 9 Thymoma PA

Date: 04/04/2010
Views: 3169
Case 9 Thymoma Lat

Case 9 Thymoma Lat

Date: 04/04/2010
Views: 3173
Case 9 Thymoma CT

Case 9 Thymoma CT

Date: 04/04/2010
Views: 3479
Thymic carcinoma PA

Thymic carcinoma PA

Date: 08/15/2012
Views: 6249
Thymic carcinoma Lat

Thymic carcinoma Lat

Date: 08/15/2012
Views: 10106
Thymic carcinoma CT

Thymic carcinoma CT

Date: 08/15/2012
Views: 5868
Thymoma

Thymoma

Date: 11/06/2013
Views: 3717
 
Page: 1
Powered by Gallery v2.3