Login Register
Gallery Mediastinum Thymus Thymic carcinoma CT

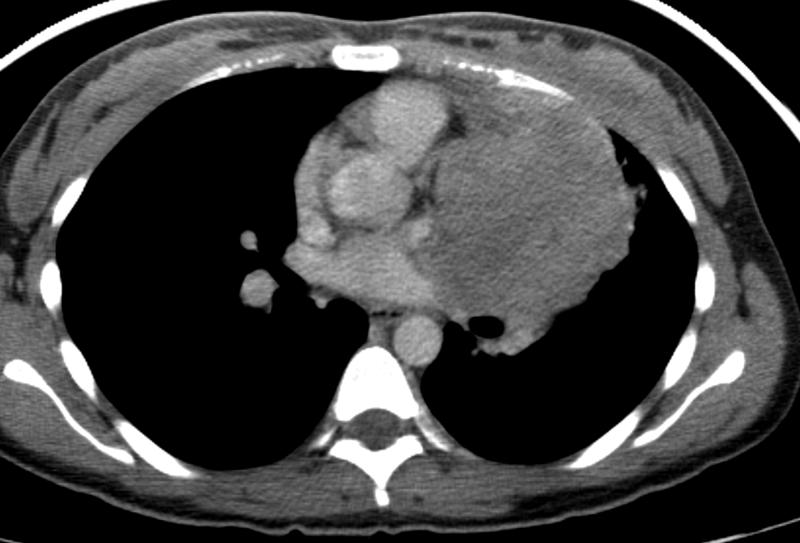
Thymic carcinoma CT

Date: 08/15/2012
Size:
Full size: 1228x834
nextlast
first previous
Thymic carcinoma CT
nextlast
first previous
Powered by Gallery v2.3