Login
Register
Gallery
Mediastinum
Thymus
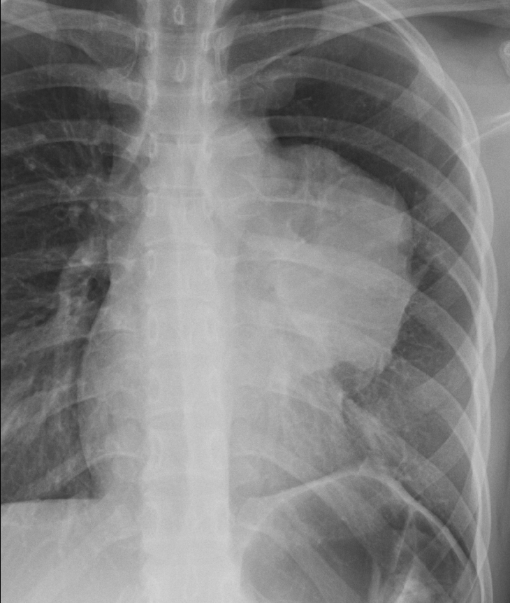
Thymic carcinoma PA
Thymic carcinoma PA
Date: 08/15/2012
Size:
677x800
730x862
Full size:
730x862
next
last
first
previous
next
last
first
previous