Login Register
Gallery Normal and Variants

Normal and Variants

Date: 03/23/2004
Size: 61 items
first previous
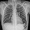
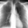
Lordotic combo

Lordotic combo

Date: 03/24/2004
Views: 3821
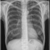
Tomogram
AP midline

Tomogram
AP midline

Date: 03/23/2004
Views: 2992
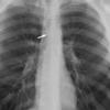
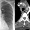
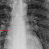
Ao nipple Chest

Ao nipple Chest

Date: 12/31/2004
Views: 2813
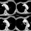
Ao nipple CT

Ao nipple CT

Date: 02/26/2006
Views: 2879
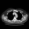
Ao nipple coronal

Ao nipple coronal

Date: 03/03/2013
Views: 2763
Normal VQ

Normal VQ

Date: 07/23/2006
Views: 3478
normal bronchus

normal bronchus

Date: 07/23/2006
Views: 3643
subpleural fat

subpleural fat

Date: 01/13/2008
Views: 3579
subpleural fat

subpleural fat

Date: 01/13/2008
Views: 3125
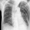
Accessory fissure
superior

Accessory fissure
superior

Date: 01/14/2008
Views: 3111
inf access fissure

inf access fissure

Date: 02/25/2013
Views: 3657
skin folds muptiple

skin folds muptiple

Date: 10/22/2010
Views: 3889
nipple shadows

nipple shadows

Date: 03/03/2013
Views: 3893
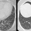
CT supine and prone

CT supine and prone

Date: 07/27/2013
Views: 3235
low volume and normal

low volume and normal

Date: 07/27/2013
Views: 3484
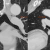
LUL ant seg art and bronchus

LUL ant seg art and bronchus

Date: 11/22/2014
Views: 2776
vessesls MR

vessesls MR

Date: 01/12/2015
Views: 3255
normal vessels

normal vessels

Date: 01/12/2015
Views: 3395
PICC good position

PICC good position

Date: 01/12/2015
Views: 3146
AP window

AP window

Date: 01/12/2015
Views: 3091
Aortic nipple

Aortic nipple

Date: 01/12/2015
Views: 3206
AO nipple coronal

AO nipple coronal

Date: 01/12/2015
Views: 2603
Ao nipple axial

Ao nipple axial

Date: 01/12/2015
Views: 2614
Aortic nipple PA and CT

Aortic nipple PA and CT

Aortic nipple

Date: 01/06/2018
Views: 3195
ant junction line

ant junction line

anterior junction line

Date: 01/06/2018
Views: 3676
     
first previous
Page: 1 2
Powered by Gallery v2.3