Login Register
Gallery Pleural

Pleural

Date: 09/24/2006
Size: 59 items
first previous
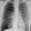
renal mets

renal mets

Date: 11/19/2005
Views: 3156
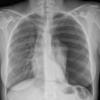
tube and track

tube and track

Date: 01/13/2008
Views: 3614
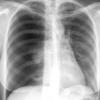
subpleural fat

subpleural fat

Date: 01/13/2008
Views: 3907
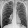
subpleural fat

subpleural fat

Date: 01/13/2008
Views: 4039
chest tube in fissure

chest tube in fissure

Date: 03/27/2009
Views: 3822
Complete pneumo
(+ mild tension)

Complete pneumo
(+ mild tension)

Date: 03/28/2009
Views: 3688
Pneumo insp/exp
(similar - mild tension)

Pneumo insp/exp
(similar - mild tension)

Date: 01/06/2012
Views: 3661
Pneumo - mild tension

Pneumo - mild tension

Date: 07/27/2013
Views: 2837
Complete pneumo-slight tension

Complete pneumo-slight tension

Date: 03/02/2014
Views: 3449
spont tension pneumothorax-

spont tension pneumothorax-

Date: 11/18/2014
Views: 2894
large spont hydro (or hemo)pneumo

large spont hydro (or hemo)pneumo

Date: 03/03/2013
Views: 3704
Asbestos- calcified plaques

Asbestos- calcified plaques

Date: 10/23/2010
Views: 4446
Asbestos calcified plaques CT

Asbestos calcified plaques CT

Date: 10/23/2010
Views: 3907
pleural lipoma

pleural lipoma

Date: 01/06/2012
Views: 3947
pleural lipoma CT

pleural lipoma CT

Date: 01/06/2012
Views: 4393
subpleural chest wall fat

subpleural chest wall fat

Date: 08/15/2012
Views: 3723
fissures

fissures

Date: 03/03/2013
Views: 2990
skin fold

skin fold

Date: 04/01/2014
Views: 3311
pleural lipoma

pleural lipoma

Date: 04/01/2014
Views: 3371
pleural lipoma axial CT

pleural lipoma axial CT

Date: 04/01/2014
Views: 3036
subpleural fat

subpleural fat

Date: 01/12/2015
Views: 3073
split pleura 2

split pleura 2

"split pleura"

Date: 01/06/2018
Views: 2926
subpleural - fat

subpleural - fat

subpleural fat

Date: 01/06/2018
Views: 4163
 
first previous
Page: 1 2
Powered by Gallery v2.3