Login Register
Gallery Pneumonia

Pneumonia

Date: 06/03/2005
Size: 74 items
nextlast
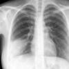
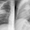
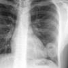
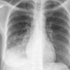
Case 1 Round pneumonia

Case 1 Round pneumonia

Date: 04/16/2005
Views: 8084
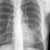
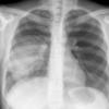
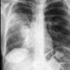
Round pneumonia 
different case

Round pneumonia
different case

Date: 11/28/2009
Views: 5944
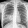
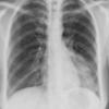
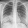
Case 2 Lingular pneum PA

Case 2 Lingular pneum PA

Date: 04/17/2005
Views: 6033
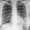
Case 2  Lingular pneum Lat

Case 2 Lingular pneum Lat

Date: 04/17/2005
Views: 7041
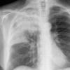
Case 3 RM & UL pneum PA

Case 3 RM & UL pneum PA

Date: 07/04/2004
Views: 5524
Case 3 RM & UL pneum Lat

Case 3 RM & UL pneum Lat

Date: 07/04/2004
Views: 6863
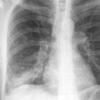
Case 4 RML pneum PA

Case 4 RML pneum PA

Date: 04/16/2005
Views: 5414
Case 4 RML pneum Lat

Case 4 RML pneum Lat

Date: 04/16/2005
Views: 5358
Case 5 RML med seg PA

Case 5 RML med seg PA

Date: 04/16/2005
Views: 5704
Case 5 RML med seg Lat

Case 5 RML med seg Lat

Date: 04/16/2005
Views: 4899
Case 6 RLL pneum PA

Case 6 RLL pneum PA

Date: 04/17/2005
Views: 5651
Case 6 RLL pneum Lat

Case 6 RLL pneum Lat

Date: 04/17/2005
Views: 10743
Case 7 RUL pneum PA

Case 7 RUL pneum PA

Date: 02/10/2005
Views: 4853
Case 7 RUL pneum Lat

Case 7 RUL pneum Lat

Date: 02/10/2005
Views: 4814
Case 8 RLL pneum PA

Case 8 RLL pneum PA

Date: 04/17/2005
Views: 5448
Case 8 RLL pneum Lat

Case 8 RLL pneum Lat

Date: 04/17/2005
Views: 12434
Case 9 RLL brpneum PA

Case 9 RLL brpneum PA

Date: 11/02/2004
Views: 5916
Case 9 RLL brpneum Lat

Case 9 RLL brpneum Lat

Date: 11/02/2004
Views: 5168
Case 10 LLL pneum PA

Case 10 LLL pneum PA

Date: 04/17/2005
Views: 4885
Case 10 LLL pneum Lat

Case 10 LLL pneum Lat

Date: 04/17/2005
Views: 6155
Case 11 RLL pneum PA

Case 11 RLL pneum PA

Date: 04/17/2005
Views: 4730
Case 11 RLL pneum Lat

Case 11 RLL pneum Lat

Date: 04/17/2005
Views: 27567
Case 12 antmed LLL pneum PA

Case 12 antmed LLL pneum PA

Date: 04/17/2005
Views: 5429
Case 12 antmed LLL pneum Lat

Case 12 antmed LLL pneum Lat

Date: 04/17/2005
Views: 4809
Case 13 RUL pneum PA

Case 13 RUL pneum PA

Date: 04/17/2005
Views: 5255
Case 13 RUL pneum Lat

Case 13 RUL pneum Lat

Date: 04/17/2005
Views: 4712
Case 14 RLL pneum PA

Case 14 RLL pneum PA

Date: 04/17/2005
Views: 4763
Case 14 RLL pneum Lat

Case 14 RLL pneum Lat

Date: 04/17/2005
Views: 13455
Case 14 RLL pneum CT

Case 14 RLL pneum CT

Date: 04/17/2005
Views: 5246
Case 15
Str. Pneum PA

Case 15
Str. Pneum PA

Date: 03/03/2006
Views: 5941
Case 15
Str. Pneum Lat

Case 15
Str. Pneum Lat

Date: 03/03/2006
Views: 5820
Case 16 Pneumonia PA

Case 16 Pneumonia PA

Date: 07/09/2006
Views: 4568
Case 16 Pneumonia Lat

Case 16 Pneumonia Lat

Date: 07/09/2006
Views: 4419
Case 17 Pneum with abscess PA

Case 17 Pneum with abscess PA

Date: 07/09/2006
Views: 4761
Case 17 Pneum with abscessCT

Case 17 Pneum with abscessCT

Date: 07/09/2006
Views: 6267
Case 18 Cavitating pneum/Abscess PA

Case 18 Cavitating pneum/Abscess PA

Date: 07/09/2006
Views: 4627
nextlast
Page: 1 2 3
Powered by Gallery v2.3