Login Register
Gallery Pneumonia

Pneumonia

Date: 06/03/2005
Size: 74 items
nextlast
first previous
Case 18 Cavitating pneum/Abscess Lat

Case 18 Cavitating pneum/Abscess Lat

Date: 07/09/2006
Views: 3188
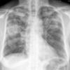
Abscess PA

Abscess PA

Date: 07/09/2006
Views: 3350
Abscess CT

Abscess CT

Date: 07/09/2006
Views: 2985
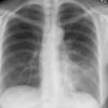
Cavitating pneumonia

Cavitating pneumonia

Date: 03/14/2009
Views: 3599
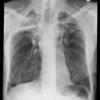
cavitating pneum

cavitating pneum

Date: 02/25/2013
Views: 3485
necrotizing pneumonia

necrotizing pneumonia

Date: 02/02/2011
Views: 7486
Bronchopneumonia

Bronchopneumonia

Date: 03/27/2009
Views: 4934
Lingular pneumonia PA

Lingular pneumonia PA

Date: 10/15/2006
Views: 4421
Lingular pneumonia Lat

Lingular pneumonia Lat

Date: 10/15/2006
Views: 3669
RML PA.sized

RML PA.sized

Date: 05/16/2014
Views: 2632
RML Lat.sized

RML Lat.sized

Date: 05/16/2014
Views: 2555
RML Lat CT

RML Lat CT

Date: 05/16/2014
Views: 2948
AspergillomaPA

AspergillomaPA

Date: 10/22/2010
Views: 3194
Aspergilloma

Aspergilloma

Date: 10/23/2010
Views: 3318
Aspergilloma

Aspergilloma

Date: 10/23/2010
Views: 3279
Eos pneum

Eos pneum

Eos pneumonia

Date: 01/19/2015
Views: 2291
Eos pneum PA

Eos pneum PA

Date: 02/02/2011
Views: 3480
Eos pneum coronal CT

Eos pneum coronal CT

Date: 02/02/2011
Views: 3307
Eos pneum CT

Eos pneum CT

Date: 02/02/2011
Views: 3574
Eos pneum  PA

Eos pneum PA

Date: 03/11/2006
Views: 3305
Eos Pneum (AEP) CT

Eos Pneum (AEP) CT

Date: 03/11/2006
Views: 3115
Eos pneum

Eos pneum

Date: 03/11/2006
Views: 3210
Eos pneum

Eos pneum

Date: 03/11/2006
Views: 3258
Eos pneum

Eos pneum

Date: 03/11/2006
Views: 3288
Eos pneum Case 2

Eos pneum Case 2

Date: 09/06/2006
Views: 3164
eosinophilic pneumonia

eosinophilic pneumonia

Date: 04/04/2010
Views: 3832
eosinophilic pneumonia

eosinophilic pneumonia

Date: 04/04/2010
Views: 2916
lingular pneumonia PA

lingular pneumonia PA

Date: 02/02/2011
Views: 4977
lingular pneumonia lat

lingular pneumonia lat

Date: 02/02/2011
Views: 4612
LLL  pneum

LLL pneum

Date: 02/25/2013
Views: 3815
bronchopneumona before

bronchopneumona before

Date: 02/25/2013
Views: 3800
bronchopneumonia after

bronchopneumonia after

Date: 02/25/2013
Views: 6107
Varicella plain

Varicella plain

Date: 03/03/2013
Views: 4486
Varicella CT

Varicella CT

Date: 03/03/2013
Views: 3682
tree in bud

tree in bud

Date: 03/03/2013
Views: 3677
Aspiration (hanging)

Aspiration (hanging)

Date: 07/27/2013
Views: 3598
nextlast
first previous
Page: 1 2 3
Powered by Gallery v2.3