Login Register
Gallery Pneumonia

Pneumonia

Date: 06/03/2005
Size: 74 items
nextlast
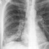
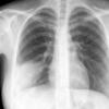
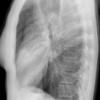
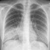
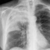
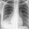
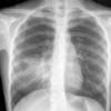
Case 1 Round pneumonia

Case 1 Round pneumonia

Date: 04/16/2005
Views: 7888
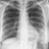
Round pneumonia 
different case

Round pneumonia
different case

Date: 11/28/2009
Views: 5722
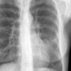
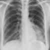
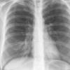
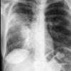
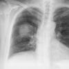
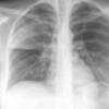
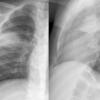
Case 2 Lingular pneum PA

Case 2 Lingular pneum PA

Date: 04/17/2005
Views: 5802
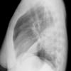
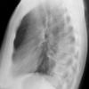
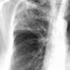
Case 2  Lingular pneum Lat

Case 2 Lingular pneum Lat

Date: 04/17/2005
Views: 6836
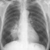
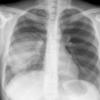
Case 3 RM & UL pneum PA

Case 3 RM & UL pneum PA

Date: 07/04/2004
Views: 5337
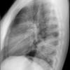
Case 3 RM & UL pneum Lat

Case 3 RM & UL pneum Lat

Date: 07/04/2004
Views: 6645
Case 4 RML pneum PA

Case 4 RML pneum PA

Date: 04/16/2005
Views: 5204
Case 4 RML pneum Lat

Case 4 RML pneum Lat

Date: 04/16/2005
Views: 5170
Case 5 RML med seg PA

Case 5 RML med seg PA

Date: 04/16/2005
Views: 5412
Case 5 RML med seg Lat

Case 5 RML med seg Lat

Date: 04/16/2005
Views: 4720
Case 6 RLL pneum PA

Case 6 RLL pneum PA

Date: 04/17/2005
Views: 5425
Case 6 RLL pneum Lat

Case 6 RLL pneum Lat

Date: 04/17/2005
Views: 8199
Case 7 RUL pneum PA

Case 7 RUL pneum PA

Date: 02/10/2005
Views: 4664
Case 7 RUL pneum Lat

Case 7 RUL pneum Lat

Date: 02/10/2005
Views: 4634
Case 8 RLL pneum PA

Case 8 RLL pneum PA

Date: 04/17/2005
Views: 5210
Case 8 RLL pneum Lat

Case 8 RLL pneum Lat

Date: 04/17/2005
Views: 9165
Case 9 RLL brpneum PA

Case 9 RLL brpneum PA

Date: 11/02/2004
Views: 5680
Case 9 RLL brpneum Lat

Case 9 RLL brpneum Lat

Date: 11/02/2004
Views: 4929
Case 10 LLL pneum PA

Case 10 LLL pneum PA

Date: 04/17/2005
Views: 4649
Case 10 LLL pneum Lat

Case 10 LLL pneum Lat

Date: 04/17/2005
Views: 5961
Case 11 RLL pneum PA

Case 11 RLL pneum PA

Date: 04/17/2005
Views: 4476
Case 11 RLL pneum Lat

Case 11 RLL pneum Lat

Date: 04/17/2005
Views: 18114
Case 12 antmed LLL pneum PA

Case 12 antmed LLL pneum PA

Date: 04/17/2005
Views: 5182
Case 12 antmed LLL pneum Lat

Case 12 antmed LLL pneum Lat

Date: 04/17/2005
Views: 4592
Case 13 RUL pneum PA

Case 13 RUL pneum PA

Date: 04/17/2005
Views: 5033
Case 13 RUL pneum Lat

Case 13 RUL pneum Lat

Date: 04/17/2005
Views: 4523
Case 14 RLL pneum PA

Case 14 RLL pneum PA

Date: 04/17/2005
Views: 4524
Case 14 RLL pneum Lat

Case 14 RLL pneum Lat

Date: 04/17/2005
Views: 9672
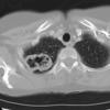
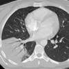
Case 14 RLL pneum CT

Case 14 RLL pneum CT

Date: 04/17/2005
Views: 5033
Case 15
Str. Pneum PA

Case 15
Str. Pneum PA

Date: 03/03/2006
Views: 5367
Case 15
Str. Pneum Lat

Case 15
Str. Pneum Lat

Date: 03/03/2006
Views: 5277
Case 16 Pneumonia PA

Case 16 Pneumonia PA

Date: 07/09/2006
Views: 4125
Case 16 Pneumonia Lat

Case 16 Pneumonia Lat

Date: 07/09/2006
Views: 3990
Case 17 Pneum with abscess PA

Case 17 Pneum with abscess PA

Date: 07/09/2006
Views: 4548
Case 17 Pneum with abscessCT

Case 17 Pneum with abscessCT

Date: 07/09/2006
Views: 6036
Case 18 Cavitating pneum/Abscess PA

Case 18 Cavitating pneum/Abscess PA

Date: 07/09/2006
Views: 4422
nextlast
Page: 1 2 3
Powered by Gallery v2.3