Login Register
Gallery Sarcoid

Sarcoid

Date: 04/20/2004
Size: 63 items
nextlast
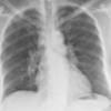
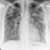
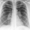
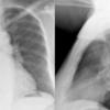
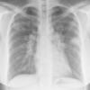
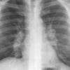
Sarcoid
Cse 1 PA

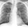
Sarcoid
Cse 1 PA

Date: 04/19/2004
Views: 3952
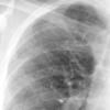
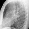
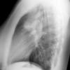
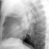
Sarcoid
Case 1 Lat

Sarcoid
Case 1 Lat

Date: 04/19/2004
Views: 3509
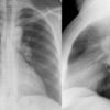
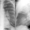
Sarcoid
Case 1 PA & Lat

Sarcoid
Case 1 PA & Lat

Date: 04/19/2004
Views: 3576
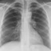
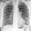
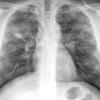
Sarcoid
Case 2 PA

Sarcoid
Case 2 PA

Date: 04/19/2004
Views: 3687
Sarcoid
Case 2 Lat

Sarcoid
Case 2 Lat

Date: 04/19/2004
Views: 3547
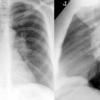
Sarcoid
Case 2 PA & Lat

Sarcoid
Case 2 PA & Lat

Date: 04/19/2004
Views: 3600
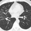
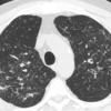
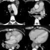
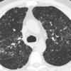
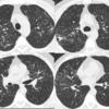
Sarcoid
Case 2 CT

Sarcoid
Case 2 CT

Date: 04/19/2004
Views: 3141
Sarcoid
Case 3 PA

Sarcoid
Case 3 PA

Date: 01/25/2004
Views: 3685
Sarcoid
Case 3 Lat

Sarcoid
Case 3 Lat

Date: 01/25/2004
Views: 3484
Sarcoid
Case 3 PA & Lat

Sarcoid
Case 3 PA & Lat

Date: 01/25/2004
Views: 3475
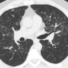
Sarcoid
Case 3 CT

Sarcoid
Case 3 CT

Date: 01/25/2004
Views: 3425
Sarcoid PA
Case 4

Sarcoid PA
Case 4

Date: 04/30/2014
Views: 3402
Sarcoid lateral
Case 4

Sarcoid lateral
Case 4

Date: 04/30/2014
Views: 3833
Sarcoid CT
Case 4

Sarcoid CT
Case 4

Date: 04/30/2014
Views: 4407
Sarcoid
Case 5

Sarcoid
Case 5

Date: 01/25/2004
Views: 3561
Sarcoid
Case 5 PA & Lat

Sarcoid
Case 5 PA & Lat

Date: 01/25/2004
Views: 3478
Sarcoid
Case 5 CT

Sarcoid
Case 5 CT

Date: 01/25/2004
Views: 4685
Sarcoid nodes with calcification

Sarcoid nodes with calcification

Date: 03/27/2009
Views: 4207
Sarcoid
Case 6 2 yrs apart

Sarcoid
Case 6 2 yrs apart

Date: 04/19/2004
Views: 3254
Sarcoid
Case 6 '60 & '65

Sarcoid
Case 6 '60 & '65

Date: 04/19/2004
Views: 3954
Sarcoid
Case 6 '67  & '73

Sarcoid
Case 6 '67 & '73

Date: 04/19/2004
Views: 3975
Sarcoid
Case 6 1965-73

Sarcoid
Case 6 1965-73

Date: 04/19/2004
Views: 3191
Sarcoid Late 
Case 8

Sarcoid Late
Case 8

Date: 04/01/2014
Views: 4101
Sarcoid Coronal CT
Case 8

Sarcoid Coronal CT
Case 8

Date: 04/01/2014
Views: 4010
Sarcoid
Case 9 PA

Sarcoid
Case 9 PA

Date: 04/20/2004
Views: 3456
Sarcoid
Case 9 Lat

Sarcoid
Case 9 Lat

Date: 04/20/2004
Views: 3325
Sarcoid
Case 10 PA

Sarcoid
Case 10 PA

Date: 04/20/2004
Views: 3323
Sarcoid
Case 10 closeup

Sarcoid
Case 10 closeup

Date: 04/20/2004
Views: 3382
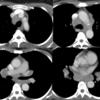
Sarcoid
Case 10 CT 1

Sarcoid
Case 10 CT 1

Date: 04/20/2004
Views: 3351
Sarcoid
Case 10 CT2

Sarcoid
Case 10 CT2

Date: 04/20/2004
Views: 3343
Sarcoid
Case 10 CT3

Sarcoid
Case 10 CT3

Date: 04/20/2004
Views: 3262
Sarcoid
Case 10 CT4

Sarcoid
Case 10 CT4

Date: 04/20/2004
Views: 3412
Sarcoid
Case 10 CT5

Sarcoid
Case 10 CT5

Date: 04/20/2004
Views: 3052
Sarcoid
Case 11 PA(a)

Sarcoid
Case 11 PA(a)

Date: 04/21/2004
Views: 3395
Sarcoid
Case 11 PA(b)

Sarcoid
Case 11 PA(b)

Date: 04/21/2004
Views: 3411
Sarcoid
Case 11 Lat

Sarcoid
Case 11 Lat

Date: 04/21/2004
Views: 3383
nextlast
Page: 1 2
Powered by Gallery v2.3