Login Register
Gallery Sarcoid Sarcoid Case 6 1965-73

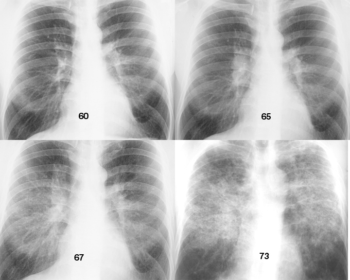
Sarcoid
Case 6 1965-73

Date: 04/19/2004
Full size: 720x576
nextlast
first previous
Sarcoid
Case 6 1965-73
nextlast
first previous
Powered by Gallery v2.3