Login Register
Gallery Sarcoid Sarcoid Case 6 '67 & '73

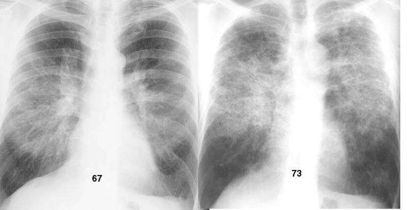
Sarcoid
Case 6 '67 & '73

Date: 04/19/2004
Size:
Full size: 1044x540
nextlast
first previous
Sarcoid
Case 6 '67  & '73
nextlast
first previous
Powered by Gallery v2.3