|
Air bronchogram
Date: 04/29/2014
Views: 9418
|
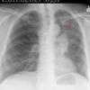
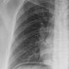
Air crescent sign
invasive aspergillosis
Date: 04/28/2014
Views: 5669
|
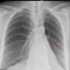
Cervicothoracic sign
(Thyroid mass- see next image)
Date: 04/28/2014
Views: 6316
|
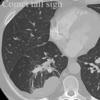
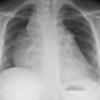
Comet tail sign
Rounded atelectasis
(Initially coined for tomography)
Date: 04/28/2014
Views: 5912
|
|
Continuoius diaphragm sign
Pneumomediastinum
Date: 04/28/2014
Views: 5568
|
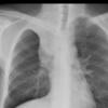
Crazy paving
Alveolar proteinosis - & others
Date: 04/28/2014
Views: 3901
|
Deep sulcus sign.
Supine pneumothorax
Date: 04/28/2014
Views: 6076
|
Double density sign
Left atrial enlargement
Date: 04/28/2014
Views: 6709
|
|
Finger in glove sign
RLL bronchiectasis
Date: 04/28/2014
Views: 5593
|
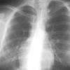
Flat waist sign
LLL collapse
Date: 04/28/2014
Views: 8133
|
Golden S sign
RUL collapse and central mass
Date: 04/28/2014
Views: 5093
|
Halo sign
Date: 04/28/2014
Views: 3682
|
|
Hilum overlay sign
Mass in front or behind hilum
Date: 04/28/2014
Views: 5223
|
Hilum overlay sign
see next image
Date: 04/28/2014
Views: 3619
|
Hilum overlay sign
Date: 04/28/2014
Views: 4525
|
Holly leaf sign
calcified asbestos-related pleural plaque
Date: 04/28/2014
Views: 5239
|
|
Luftsichel sign
LUL collapse; hyperinflated LLL
Date: 04/28/2014
Views: 6983
|
Monad's sign
Aspergilloma
Date: 04/28/2014
Views: 4400
|
Rigler's sign
to assess LV size
Date: 04/28/2014
Views: 4340
|
Rugger Jersey sign
2ry hyperparathyroidism in CRF
Date: 04/28/2014
Views: 4128
|
|
Scimitar sign
Anomalous venus return below the diaphragm
(hypoplastic Rt lung/venolobar syndrome)
Date: 04/28/2014
Views: 4301
|
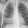
Silhouette sign
RML collapse
Date: 04/29/2014
Views: 4746
|
RML collapse
(see previous image)
Date: 04/28/2014
Views: 3287
|
Split pleura sign
Empyema
Date: 04/28/2014
Views: 8446
|
|
Tapered margins sign
Pleural or extrapleural origin
Date: 04/28/2014
Views: 5238
|
Tapererd margins sign
Pleural lipoma
Date: 04/28/2014
Views: 4443
|
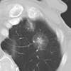
Tree-in-bud sign
Plugged small airways
Date: 04/28/2014
Views: 5600
|
free air
Date: 01/12/2015
Views: 3810
|
|
Benny PWD
Date: 04/28/2014
Views: 4479
|
|
|
|