Login Register
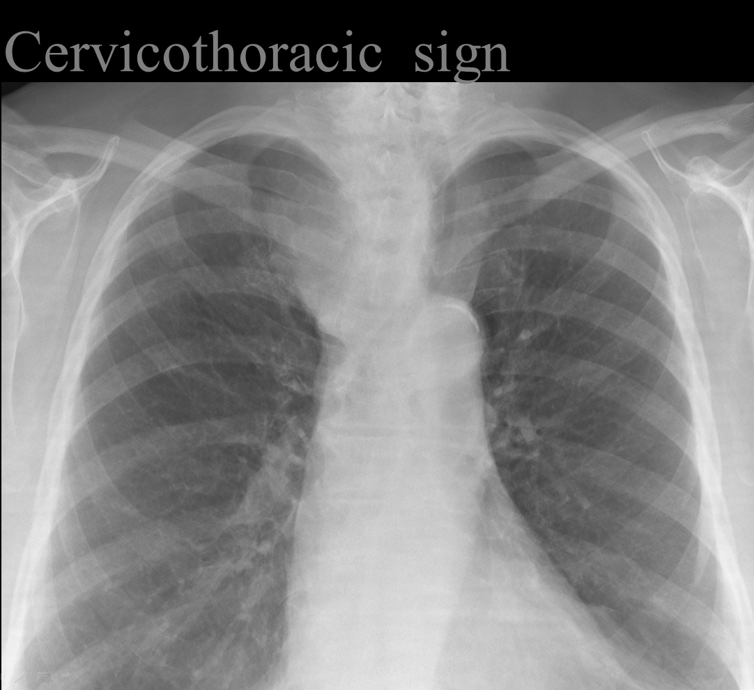
Gallery Signs Cervicothoracic sign (Thyroid mass- see next image)

Cervicothoracic sign
(Thyroid mass- see next image)

Date: 04/28/2014
Size:
Full size: 1082x991
nextlast
first previous
Cervicothoracic sign
(Thyroid mass- see next image)
nextlast
first previous
Powered by Gallery v2.3