Login Register
Gallery Lobar Collapse RLL Collapse

RLL Collapse

Date: 02/28/2004
Size: 9 items
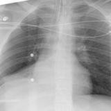
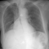
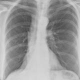
RLL Collapse 1 PA

RLL Collapse 1 PA

Date: 02/28/2004
Views: 3496
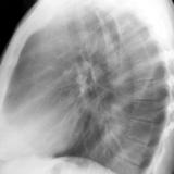
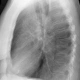
RLL Collapse  1 Lateral

RLL Collapse 1 Lateral

Date: 02/28/2004
Views: 3309
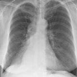
RLL Collapse 2 PA only

RLL Collapse 2 PA only

Date: 02/28/2004
Views: 3186
RLL Collapse 3 PA only

RLL Collapse 3 PA only

Date: 02/28/2004
Views: 3226
RLL collapse 4 PA

RLL collapse 4 PA

Date: 03/02/2006
Views: 3296
RLL collapse 4 Lat

RLL collapse 4 Lat

Date: 03/02/2006
Views: 3274
Mass RLL collapse 5 PA

Mass RLL collapse 5 PA

Date: 03/02/2006
Views: 4092
Mass RLL collapse 5 Lat

Mass RLL collapse 5 Lat

Date: 03/02/2006
Views: 3859
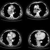
Mass  RLL collapse 5 CT

Mass RLL collapse 5 CT

Date: 03/02/2006
Views: 4057
     
Page: 1
Powered by Gallery v2.3