Login Register
Gallery Mediastinum Thymus

Thymus

Date: 03/17/2004
Size: 27 items
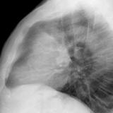
Case 1a
Thymoma

Case 1a
Thymoma

Date: 03/17/2004
Views: 5003
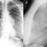
Case 1b
Thymoma

Case 1b
Thymoma

Date: 03/17/2004
Views: 5015
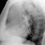
Case 1c
Thymoma

Case 1c
Thymoma

Date: 03/17/2004
Views: 4810
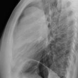
Case 2
Thymoma

Case 2
Thymoma

Date: 03/17/2004
Views: 5739
Case 3a
Malig Thymoma

Case 3a
Malig Thymoma

Date: 03/17/2004
Views: 13909
Case 3b
Malig Thymoma

Case 3b
Malig Thymoma

Date: 03/17/2004
Views: 18549
Case 4
Thymoma

Case 4
Thymoma

Date: 03/17/2004
Views: 16667
Case 5
Thymic hyperplasia

Case 5
Thymic hyperplasia

Date: 03/17/2004
Views: 5488
Case 6a
Thymoma

Case 6a
Thymoma

Date: 03/17/2004
Views: 3670
Case 6b
Thymoma

Case 6b
Thymoma

Date: 03/17/2004
Views: 3938
006c

006c

Date: 03/17/2004
Views: 3353
Case 7a
Malig Thymoma

Case 7a
Malig Thymoma

Date: 03/17/2004
Views: 10357
Case 7b
Malig Thymoma

Case 7b
Malig Thymoma

Date: 03/17/2004
Views: 18005
Case 7c
Malig Thymoma

Case 7c
Malig Thymoma

Date: 03/17/2004
Views: 4300
Normal Thymus

Normal Thymus

Date: 03/17/2004
Views: 4490
009

009

Date: 03/17/2004
Views: 6775
010MG

010MG

Date: 03/17/2004
Views: 6665
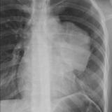
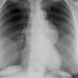
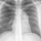
Case 8a Thymoma PA

Case 8a Thymoma PA

Date: 03/27/2009
Views: 9543
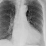
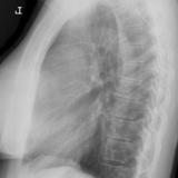
Case 8b Thymoma Lat

Case 8b Thymoma Lat

Date: 03/27/2009
Views: 14175
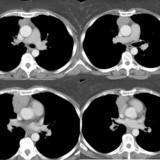
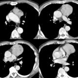
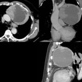
Case 8c Thymoma CT

Case 8c Thymoma CT

Date: 03/27/2009
Views: 15482
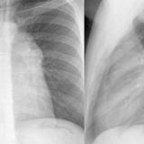
Case 9 Thymoma PA

Case 9 Thymoma PA

Date: 04/04/2010
Views: 3255
Case 9 Thymoma Lat

Case 9 Thymoma Lat

Date: 04/04/2010
Views: 3260
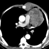
Case 9 Thymoma CT

Case 9 Thymoma CT

Date: 04/04/2010
Views: 3594
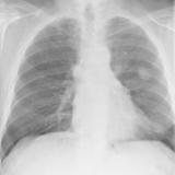
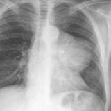
Thymic carcinoma PA

Thymic carcinoma PA

Date: 08/15/2012
Views: 6340
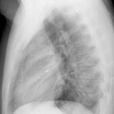
Thymic carcinoma Lat

Thymic carcinoma Lat

Date: 08/15/2012
Views: 10195
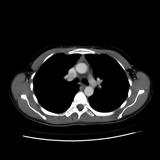
Thymic carcinoma CT

Thymic carcinoma CT

Date: 08/15/2012
Views: 5971
Thymoma

Thymoma

Date: 11/06/2013
Views: 3827
 
Page: 1
Powered by Gallery v2.3